The Fetal Liver
Amanda Saunders, MD, MBA & Robert Bendon, MD
(All photos are submitted courtesy Dr. Robert Bendon MD, unless otherwise specified)
Internal Examination:
Color: The fetal liver is red without the brown lipofuscin that characterizes older livers. Some of the red may also be due to the prominent erythropoiesis in gestationally less mature livers. The color may be a deep red with liver sinusoidal congestion. The liver will become pale with fetal anemia, but yellow appearing livers can also be the result of storage diseases, some of which produce fetal ascites.
Subcapsular Hematoma: On opening the abdomen, usually in preterm infants, there may be a hematoma, usually relatively new, beneath the anterior margin. The subcapsular connective tissue is weak and connected to the sinusoids as the likely source of the hemorrhage. It is possible to produce such a hematoma postmortem with pressure on the liver, and possibly some are produced by delivery trauma. However, there are factors that suggest a predelivery origin such as the association with perinatal fetal sepsis1. Occasionally they may rupture and cause a large hemoperitoneum (Fig 1).
Fig 1: There is a ruptured hematoma over the anterior surface of the liver. The peritoneum is filled with blood. This 29 weeks of gestation infant was a monochorionic twin with a velamentous insertion of the cord. There was no weight discordance with the sibling. This infant developed fetal distress and was born with a 6.98 cord pH. Resuscitation was not successful ending after an hour with a pneumothorax and hemoperitoneum.
Size: The liver may be enlarged from congestion, increased erythropoiesis, and other causes (Fig 2). The liver may be smaller in growth restricted fetuses. The liver: brain ratio is a helpful judge of size, but the cause of the increase needs to be evaluated in relation to the histologic percentages of different components. The average liver brain ratio is 0.32.
Fig 2: The liver in this infant is enlarged and darker red than usual because of severe vascular congestion. This 28 weeks of gestation infant had 12-24 hours of postmortem retention had a relatively acute death with a triple nuchal cord, some pleural effusions, but a normal thymus and birthweight for gestation. The liver brain weight ratio was 0.56, almost twice normal.
Other: Some stillborn infants usually of early gestation and prolonged retention show mineralize deposits in a branching pattern on the surface of the liver, or on radiograph within the liver (Fig 3). Microscopically these lesions stain for iron and calcium and run along the portal tracks within the liver, suggestive of old periportal hemorrhage.
Fig 3: The liver demonstrates a white branching pattern on the surface of mineralized deposition. This 19 weeks of gestation infant with 24 to 48 hours of postmortem retention was hydropic from high output cardiac failure from massive cutaneous hemangiomas.
Sampling for histology:
Because of the asymmetric liver blood flow due to the ductus venosus left portal vein connection, cross sections from both lobes may reveal histological differences between the lobes. Lifting the liver from the abdomen will demonstrate the pale gall bladder and common duct which are not sampled if anatomically normal. Opening the internal umbilical vein into the liver will demonstrate the major hepatic vessels including the ductus venosus. The liver can then be separated from the organ block and weighed. Breadloafing the liver will reveal internal lesions such as hematoma or tumor.
Microscopic:
Hematopoiesis: The liver is a major site of fetal hematopoiesis. Erythropoiesis and megakaryocytopoiesis occur in the liver sinusoids. Erythropoiesis is increased with conditions requiring increased production such as fetal hemolysis or hemorrhage, and in macrosomic infants of diabetic mothers2. The extent of erythropoiesis decreases with gestational age (Fig 4a, b).
Fig 4a: This liver from a 41 weeks of gestation stillbirth with 12-24 hours of postmortem retention shows relatively sparse foci of erythropoiesis in the hepatic sinusoids. The infant had evidence of acute asphyxia (intrathoracic petechiae and vernix aspiration) of unknown cause. (10x, H&E)
Fig 4b: This 27 weeks of gestation neonatal death at 32 hours following preterm labor shows more erythropoiesis typical for this gestational age, than that in the 41 week gestation infant. (10x, H&E)
With pathologically increased erythropoiesis, there is often grouping of cells at the same stage in erythropoietic development (Fig 5a, b).
Fig 5a: This 28 weeks of gestation infant with hydrops from hemangiomas demonstrates markedly more erythropoiesis than the infant in Fig 4b. The infant died at 2 hours of age (4x, H&E)
Fig 5b: This 38 week gestation infant with thanatophoric dwarfism died at 3 hours of age. The reason for increased erythropoiesis was unclear, but could be related to a lack of bone marrow space. The ovals show clustering of cells in similar stages of erythropoiesis. There is also increased myelopoiesis in the portal tract in the center presumably also from a lack of bone marrow as there was no chorioamnionitis. (10x, H&E)
Increased megakaryocytes are usually an indicator of trisomy 213 (Fig 6). Myelopoiesis occurs in the portal areas and may be increased with fetal inflammatory response to amniotic fluid infection4.
Hepatocytes: Liver cell disease is unusual in stillbirths. One form, gestational alloimmune liver disease, is often associated with iron storage in hepatocytes, and other organs that can accumulate iron in excess of transferrin such as adrenal and pancreatic islets5. The hepatocytes will have an increase of hemosiderin staining. Some genetic lysosomal storage diseases can cause ascites in utero6. The liver cells contain macrovesicular lipid in lethal multiple acyl-CoA dehydrogenation deficiency (glutaric aciduria type 2) (Fig 7).
Fig 7: This liver is from an infant with perinatal death from glutaric aciduria type 2 and demonstrates macrovesicular lipid in hepatocytes with saponification pointed out by the central arrow. (40x, H&E)
Thrombi: Thrombi in liver sinusoids is a one of the lesions identified in cardiogenic shock in infants with hypoplastic left heart prior to the discovery of prostaglandin therapy (Fig 8a, b)7.
Fig 8a: This 33 weeks of gestation infant with 24 hours of postmortem retention had shock related to a massive liver hemangioma. The surrounding liver demonstrated fibrin thrombi in the sinusoids, staining a dark pink. (40x, PAS diastase)
Fig 8b: This liver is from the same infant with the ruptured liver hematoma in Fig 1. The thrombi in the sinusoids (arrows) suggest that the onset of hypovolemic shock may have preceded delivery of the infant as does the low umbilical cord pH. (20x, PAS)
Larger thrombi in the hepatic vein thrombus which may associated with fetal ascites or fetal vascular malperfusion lesions in the placenta (Fig 9).
Fig 9: This thrombus almost filling the hepatic vein occurred in 24 weeks of gestation infant with approximately 48 hours of postmortem retention. The placenta demonstrated lesions of fetal vascular malperfusion and the infant was small for gestation. (10x, PAS)
Hemorrhage and congestion: In the fetal liver, the majority of the oxygenated blood from the umbilical vein is supplied to the portal venous system but with a large portion also shunted through the ductus venosus to the inferior vena cava. With fetal hypoxia, the ductus venosus widens and more blood is shunted to the heart8. Despite this shift, in some stillbirths with fetal asphyxia, the liver shows marked sinusoidal congestion likely from a sudden increase in right heart pressure from cardiac hypoxia and poor contraction (Fig 10a, b).
Fig 10a: This 40 weeks of gestation infant with 4 – 12 hours of postmortem retention has intrathoracic petechiae and a 90% separation of the placenta above a retroplacental hematoma. The sinusoids are distended with blood. (20x, H&E)
Fig 10b: This 33 weeks of gestation infant with 4-12 hours of postmortem retention had evidence of acute asphyxia of unknown cause. This infant did not show the congestion seen in Fig 10a. (20x, H&E)
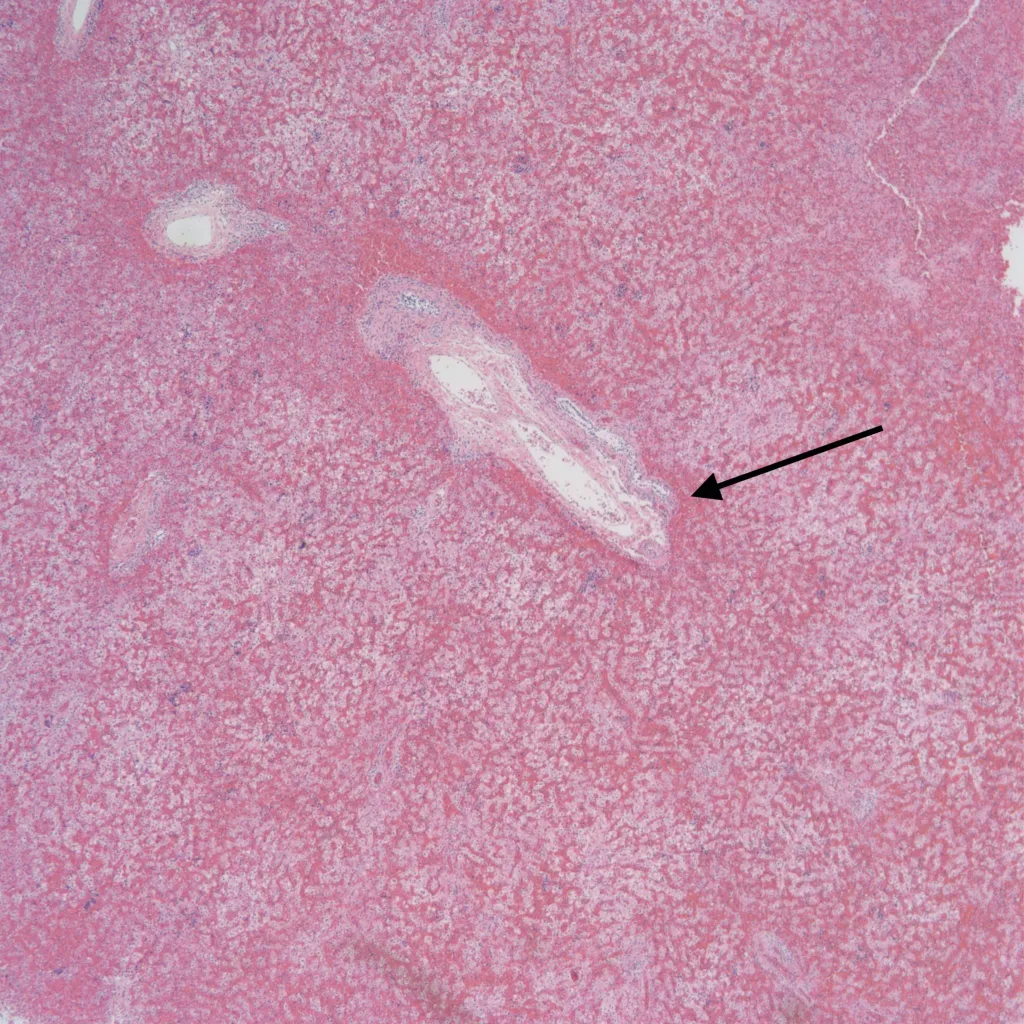
Constriction of the ductus arteriosus would also be expected to suddenly increase right heart pressure and liver congestion. The sinusoidal congestion may be accompanied by periportal hemorrhage likely because the increase in right atrial pressure is also transmitted to the portal system through the ductus venosus (Fig 11).
Fig 11: This is a low power of the same liver as in 10 showing portal hemorrhage (arrow) as well as sinusoidal congestion. (4x, H&E)
Because of the anatomy, such periportal hemorrhage may be more prominent in the left lobe because of the attachment of the left portal vein to the ductus venosus, but this has not been systematically investigated.
Hemorrhage can occur in the liver as in other organs with fetal septic shock presumably from disseminated intravascular coagulation, although D dimers or other evidence is not available (Fig 12).
Fig 12: This liver shows hemorrhage surrounding the hepatic vein in this 29 weeks of gestation infant with 4 to 12 hours of intrauterine retention. The fetus showed signs of sepsis with disseminated small hemorrhages including kidney, lung and liver following 21 days of ruptured membranes. There were subacute necrotizing funisitis. (10x, H&E)
More cryptic in origin are focal subcapsular and periportal hemorrhages seen usually in early gestation fetuses that can be seen on fine grained postmortem radiographs (Fig 13a)9. These lesions may stain for both hemosiderin and calcium. (Fig 13b, c)
Fig 13a: This liver shows basophilic amorphous deposits primarily in the periportal region. The 18 weeks of gestation infant had approximately 12 hours of postmortem retention. The mother had sickle cell disease and the placenta demonstrated a retroplacental hematoma from premature placental separation. (20x, H&E)
Fig 13b: This is the same liver as in Fig 13a demonstrating positive staining for calcium in the basophilic deposits. (20x, VonKossa)
Fig 13c: This is the same liver as in Fig 13a demonstrating positive staining for ferric iron. (20x, iron(Prussian Blue))
Infection: The liver cells are a prime site of Herpes simplex infection with a gross pattern of geographic necrosis. Microscopically, some cells will show typical herpetic inclusions which can be confirmed with immunostaining (Fig 14).
Fig 14: The brown peroxidase immunostain demonstrates the geographic pattern of Herpes simplex infection in the fetal liver in this 22 weeks of gestation infant with more than 3 days of postmortem retention. (10x, anti HSV1 & 2)
The portal system is a frequent site of Cytomegalovirus inclusions (Fig 15).
Fig 15: The CMV inclusions are apparent in a bile duct in the center of the image. The periportal area shows a prominent cellular infiltrate that appears to be predominantly myelopoiesis that is likely related to the placental evidence of chorioamnionitis than to the CMV. This 22 weeks of gestation infant survived one hour. (20x, H&E)
Other: Vascular malformations/tumors occur in the fetal period (Fig 16).
Fig 16: This 33 weeks of gestation infant with approximately 24 hours of postmortem retention demonstrates cardiomegaly (.085 heart: brain ratio) due to a large liver hemangioma. No images of the hemangioma are available.
In multiple syndromes such as Infantile recessive polycystic kidneys, some short rib polydatyly syndromes, Ivemarks renal hepatic pancreatic dysplasia and Meckle syndrome, the bile ducts show a typical bile plate arrangement (Fig 17).
Figure 17: The bile duct plate arrangement is evident in the circumferentially arranged bile ducts in this 32 weeks of gestation infant with 2 days of survival who had short rib polydactyly syndrome.
Duration of postmortem retention:
The loss of more than 1% of hepatocyte nuclear basophilia occurs in the window after 24 hours of postmortem retention (Fig 18)10.
Fig 18: This infant had a witnessed fetal death and then a delivery delayed within a 24 to 48 hour interval. The liver shows more than 1% loss of basophilia in hepatocytes. The basophilic blob is from free nuclear material. This 40 weeks of gestation infant died from a 40% premature placental separation and retroplacental hematoma. The mother had pre-eclampsia. (40x, H&E)
Complete loss of basophilia occurs after 96 hours. A peculiar artifact in early gestation fetuses with prolonged retention is the expulsion of brain tissue throughout the body presumably during delivery through a narrowly dilated cervix. This often extrudes through the spinal foramina, but also can be driven into the venous drainage of the heart into the hepatic circulation. This artifact has been mistaken for tumor as the small blue cells retain nuclear basophilia longer than other tissues, but the diagnosis can be made by the collapse of and the loss of brain issue within, the skull (Fig 19).
Fig 19: This liver demonstrates complete loss of hepatocyte basophilia in this 16 weeks of gestation infant with more than 4 days of retention. The hepatic veins are filled with liquified brain, an artifact common to early gestation fetuses with prolonged retention. (4x, H&E)
References
1. Singer DB, Neave C, Oyer CE, Pinar H. Hepatic subcapsular hematomas in fetuses and neonatal infants. Pediatr Dev Pathol 1999;2:215-20.
2. Singer DB. Hepatic erythropoiesis in infants of diabetic mothers: a morphometric study. Pediatric Pathology 1986;5:471-9.
3. Gilson TP, Bendon RW. Megakaryocytosis of the liver in a trisomy 21 stillbirth. Arch Pathol Lab Med 1993;117:738-9.
4. Stallmach T, Karolyi L. Augmentation of fetal granulopoiesis with chorioamnionitis during the second trimester of gestation. Human Pathology 1994;25:244-7.
5. Whitington PF. Gestational alloimmune liver disease and neonatal hemochromatosis. Semin Liver Dis 2012;32:325-32.
6. Gillan JE, Lowden JA, Gaskin K, Cutz E. Congenital ascites as a presenting sign of lysosomal storage disease. J Pediatr 1984;104:225-31.
7. Coen R, McAdams AJ. Visceral manifestation of shock in congenital heart disease. Am J Dis Child 1970;119:383-9.
8. Bellotti M, Pennati G, Gasperi CD, Bozzo M, Battaglia FC, Ferrazzi E. Simultaneous measurements of umbilical venous, fetal hepatic, and ductus venosus blood flow in growth-restricted human fetuses. Am J Obstet Gynecol 2004;190:1347-58.
9. Bronshtein M, Blazer S. Prenatal diagnosis of liver calcifications. Obstet Gynecol 1995;86:739-43.
10. Genest DR, Williams MA, Greene MF. Estimating the time of death in stillborn fetuses: I. Histologic evaluation of fetal organs; an autopsy study of 150 stillborns. Obstet Gynecol 1992;80:575-84.

































